Are prehensile tails composed of slow or fast MHC isoform fibers?

 


Fiber Typing Images


                                                         



These studies originated in my lab with the first analysis being performed on the caudal musculature of the Virginia opossum (Didelphis virginiana). They involve the identification of myosin heavy chain (MHC) isoforms in caudal muscles of the prehensile tails of didelphid marsupials by SDS-PAGE, Western Blot, rt-PCR and Immunohistochemistry methods. We are interested in understanding what types of muscle fiber composition reflect specializations of prehensile tails for either arboreal, scansorial or terrestrial locomotor habits in opossums. Interestingly, our present data shows the semi-prehensile tail of D. virginiana predominantly expressed fast, oxidative MHC-2A/X hybrid fibers. This MHC fiber type composition matches the adaptive use of the tail to carry and manipulate debris for nest building in this primarily terrestrial opossum. MHC-2A/X hybrids may also indicate an evolutionary fast-to-slow shift in MHC expression. We are currently working to explore this hypothesis.

The arboreal Central American Woolly Opossum.

Photo: J.E. Rupert

Pano Hazimihalis completed the analysis in D. virginiana for his Masters Thesis and we have published his work in the Anatomical Record. Joe Rupert completed his analysis of MHC isoform fiber types in the fully-prehensile tail of an arboreal specialist, Caluromys derbianus, and semi-prehensile tail of the terrestrial species, Monodelphis domestica. His paper has been accepted in the Anatomical Record. Our next studies involve the scansorial, understory dwellers from the genera Philander and Marmosa, as well as a developmental study of MHC isoform expression and function in the tail of Monodelphis that is currently being performed by Dylan Thomas.   

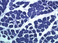
myATPase

reaction showing slow, MHC-1 muscle fibers (dark) and fast, MHC-2A/X hybrid fibers (light) in opossum tail muscles


NADH-tr

reaction showing oxidative tail muscle